SOLUTIONS SPÉCIFIQUES À L’AVC

Des solutions innovantes à votre disposition pour la gestion des AVC
Si la détection précoce d'un AVC peut sauver une vie ou réduire le handicap consécutif à un AVC, la gestion des facteurs de risque permet quant à elle d'empêcher 80 % des AVC.1 Les outils de détection peuvent prévenir les risques d'AIT ou d'AVC.


Moniteur Holter SEER 1000
Spécialement développé pour la détection de la fibrillation auriculaire. Pour en savoir plus

Didacticiels du produit Logiq v1v2
Analyse du logiciel CardioDay v2.5
Offre une qualité clinique et des avantages en matière de flux inégalés. Pour en savoir plus


Serveur d’algorithmes
Serveur Cloud - permet une analyse et une interprétation ECG ambulatoire à distance. Pour en savoir plus
Le transport et le triage rapides avec pré-notification et transfert des paramètres vitaux vers une unité interventionnelle offrent aux patients les meilleures chances de se rétablir complètement.2 L’utilisation des systèmes de monitorage pendant les phases critiques peut faire gagner du temps et améliorer les résultats cliniques.


Solutions de monitoraWeConnectCAPE™
Portefeuille de systèmes de monitorage évolutif qui s’adapte à la gravité des cas et aux besoins du service de soins. Pour en savoir plus

Didacticiels du produit Logiq v1v2
ApexPro CH/FX Telemetry
Un système de télémétrie avancé à haute flexibilité conçu pour répondre aux besoins de télémétrie actuels et futurs des hôpitaux en expansion. Pour en savoir plus
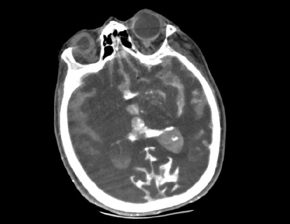
Un patient susceptible d'avoir souffert d'un AIT ou d'un AVC subit un examen général et neurologique suivi d'une imagerie cérébrale diagnostique, effectuée immédiatement à son arrivée afin qu'un traitement puisse être entrepris rapidement. 3 Un système d'acquisition optimal associé à des applications de flux de travail et à des protocoles conçus pour l'AVC permettent d'établir un diagnostic précis et rapide afin d'optimiser les résultats pour le patient.

Didacticiels du produit Logiq v1v2
Gamme de systèmes CT Revolution
Le système Revolution est capable d'acquérir une neuro perfusion et une angiographie (CTA) du cerveau en un seul examen pour une évaluation fonctionnelle et anatomique complète. Pour en savoir plus


Application FastStroke CT
Simplifie et organise les images CT pour une évaluation rapide des patients souffrant d'un AVC. Pour en savoir plus


Protocole Fast Brain avec HyperWorks
Fournit des informations structurelles et vasculaires avec une résolution améliorée et une caractérisation précise en 5 minutes. Pour en savoir plus
L'accident ischémique cérébral aigu est une maladie complexe et le succès de son traitement endovasculaire repose sur la capacité globale d'intégrer rapidement plusieurs éléments d'information.4 Entreprendre une thrombolyse intraveineuse (IV-tPA) si l'AVC ischémique dure moins de 5 heures. Débuter la procédure de thrombectomie mécanique dans les 6 heures qui suivent le début de l'accident vasculaire au niveau d'un gros vaisseau (zone de l'artère cérébrale moyenne). Des interventions réalisées dans les plus brefs délais avec une imagerie précise permettent d'atteindre rapidement les lésions et de prodiguer des soins de meilleure qualité aux patients.


IGS 630 avec Advantage Workstation
Interventions rapides pour favoriser la détection des hémorragies dans la salle. Pour en savoir plus


Innova CT HD
Permet de détecter rapidement les hémorragies intracrâniennes dans la salle d'intervention. Pour en savoir plus
L’objectif est de prévenir la répétition des AVC ou des AIT en identifiant les facteurs de risque tels que la fibrillation auriculaire, de contribuer à une réadaptation personnalisée et de décoder le mécanisme d’AVC le plus probable.


SIGNA™ Premier MR avec antenne 48 canaux, Hyperband et eDWI
Évaluation rapide de la réponse au traitement et du rétablissement avec une qualité d'image irréprochable.
Pour en savoir plus

Didacticiels du produit Logiq v1v2
Échographes LOGIQ
Conçus pour réaliser une évaluation rapide, offrir une grande facilité d'utilisation et optimiser le confort des patients. Pour en savoir plus


Systèmes d’ECG ambulatoire
Spécifiquement conçus pour la détection de la fibrillation auriculaire en tant qu’outils secondaires d’évaluation du risque.
Pour en savoir plus