Seno Iris™

Revue d’images

Une solution complète dédiée au flux de travail. Choisissez la configuration dont vous avez vraiment besoin pour travailler efficacement.
SenoIris™ Diagnose
SenoIris™ Review
SenoIris™ Connect
EN BREF

Interface personnalisable

Réduisez les tâches répétitives et accédez automatiquement à vos réglages personnalisés

Fonctionnalités activées en un clic

Effectuez les étapes essentielles de votre flux de travail habituel d'un simple clic.

Interopérabilité et connectivité accrues

La solution multifournisseur hautement configurable peut facilement s'intégrer à toute infrastructure informatique existante.

Revue clinique avancée et outils intelligents

Accélérez votre revue diagnostique grâce à de puissantes fonctions de gestion d’images.

Revue simplifiée. Revue optimisée

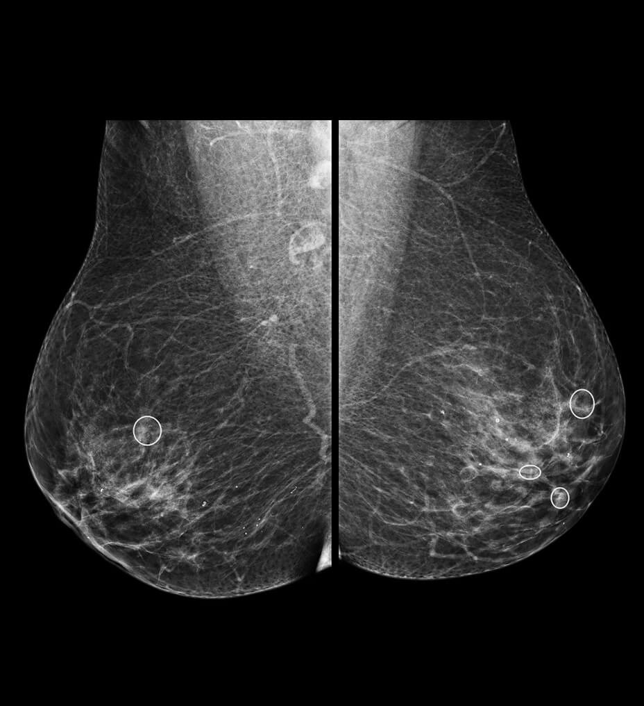
La tomosynthèse numérique du sein (DBT) facilite la détection du cancer du sein, mais la technologie innovante peut repousser les limites de certains outils de visualisation. Avec Seno Iris, vous pouvez améliorer votre flux de travail de mammographie grâce à des outils avancés conçus pour vous aider à poser un diagnostic rapide et précis.
UNE SEULE PLATEFORME. UNE SOLUTION COMPLÈTE

Simple. Facile à utiliser. Pratique

Seno Iris est conçu pour améliorer l'écosystème de votre établissement sur une plateforme unique fiable.
Il comprend les applications Seno Iris Diagnose pour les radiologues, Seno Iris Review pour les manipulateurs et Seno Iris Connect pour rationaliser votre flux de travail. Ses outils innovants sont conçus pour vous aider à :
• Gérer efficacement de gros volumes de données
• Explorer rapidement et facilement des images 3D détaillées et précises
• Vous aider à réaliser un diagnostic rapide et précis
SOLUTION COMPLÈTE DÉDIÉE AU FLUX DE TRAVAIL

Seno Iris DIAGNOSE

Conçu pour aider les radiologues à interpréter les images produites par les systèmes des principaux fabricants du marché, ainsi que par d’autres modalités d’imagerie du sein telles que l’échographie et l’IRM.
LA SIMPLICITÉ AU BOUT DES DOIGTS

Seno Iris REVIEW

• Permet d'accéder facilement aux images et rapports antérieurs.
• Saisie facilitée des observations cliniques pendant l'examen physique
• Notification sur la liste de travail des demandes de vues supplémentaires formulées par le radiologue
• Accès facilité aux annotations d'image du radiologue
• Documentation automatique des paramètres d'acquisition s'ils sont fournis par le système d'acquisition dans l'en-tête DICOM1
SOLUTION COMPLÈTE DÉDIÉE AU FLUX DE TRAVAIL

Seno Iris CONNECT

Seno Iris Connect fournit des outils avancés et une configuration optimale pour gérer le flux de travail des images et augmenter votre productivité.
Contact

Des questions ? Votre avis nous intéresse.

Références
1. DICOM est une marque commerciale de la National Electrical Manufacturers Association.

* Précision de diagnostic supérieure démontrée par une étude comparant les valeurs AUC (surface sous la courbe ROC) pour le protocole de dépistage GE (acquisition V-Preview + acquisition 3D CC/MLO avec le système 3D en mode STD) et pour le protocole FFDM 2D seul. V-Preview correspond à l’image 2D synthétisée générée par le logiciel de mammographie du Seno Iris de GE, à partir d’images DBT GE. FDA PMA P130020 http://www.accessdata.fda.gov/scripts/cdrh/cfdocs/cfpma/pma.cfm?id=P130020.

* Contenu en anglais

Mentions légales

SenoBright HD est un accessoire optionnel du Senographe Pristina destiné à permettre une imagerie mammaire à contraste amélioré à l'aide d'une technique à double énergie. Classe : II b / Organisme notifié : CE 0459. Fabricant : GE Medical Systems SCS, France. Référez-vous toujours au manuel d'utilisation complet avant utilisation et lisez attentivement toutes les instructions pour assurer la bonne utilisation de votre dispositif médical. Dernière révision : 17/12/2020.
Le Senographe Pristina ( en incluant Dueta) est conçu pour le dépistage et le diagnostic en mammographie. Classe : II b / Organisme Notifié : CE 0459. Fabricant : GE Medical Systems SCS, France. Veuillez toujours consulter le Manuel de l'utilisateur complet avant toute utilisation et lire attentivement toutes les instructions pour assurer l'emploi correct de votre dispositif médical. Dernière révision : 01/09/2016. Pristina Serena (comme Pristina Serena 3D et Pristina Serena Bright) est un accessoire optionnel du Senographe Pristina destiné à fournir une localisation précise des lésions du sein en trois dimensions.Classe: II a / Organisme notifié : CE 0459. Fabricant : GE Medical Systems SCS, France. Référez-vous toujours au manuel d'utilisation complet avant utilisation et lisez attentivement toutes les instructions pour assurer la bonne utilisation de votre dispositif médical. Dernière révision : 17/12/2020.
Pristina Serena (comme Pristina Serena 3D et Pristina Serena Bright) est un accessoire optionnel du Senographe Pristina destiné à fournir une localisation précise des lésions du sein en trois dimensions.
Classe: II a / Organisme notifié : CE 0459. Fabricant : GE Medical Systems SCS, France. Référez-vous toujours au manuel d'utilisation complet avant utilisation et lisez attentivement toutes les instructions pour assurer la bonne utilisation de votre dispositif médical. Dernière révision : 17/12/2020.
SenoIris est conçu pour l'examen diagnostique et non diagnostique dans les environnements d'imagerie diagnostique et de dépistage du sein grâce à la lecture d'images électroniques multimodales et multifournisseurs. Il permet l’analyse post-traitement et d'impression d'images pour les images FFDM, DBT et CESM. Le logiciel prend également en charge l'affichage des données de CAO, des évaluations de la densité mammaire et d'autres données d'imagerie mammaire provenant de diverses modalités. Le routage et la compression des images, ainsi que le pilotage centralisé des flux de travail, y compris la lecture en double aveugle et les rapports intégrés dans l'image, font partie de la solution destinée à aider les professionnelles en soins de santé féminines à enrichir les flux de travail existants pour répondre aux besoins d'imagerie du sein. Diverses interfaces spécifiques et générales existent pour se synchroniser avec d'autres logiciels externes côté front-end et back-end. Le logiciel fournit également des fonctions permettant d'importer directement des données et de les exporter vers des supports de stockage mobiles ou sur le système d'exploitation local.
Classe Iia - Fabricant : GE Medical Systems SCS - Organisme Notifié : G-MED (NB n°0459). Référez-vous toujours au manuel d’utilisation complet avant utilisation et lisez attentivement toutes les instructions pour garantir la bonne utilisation de votre dispositif médical.

JB02821FR